Ліки, які вона приймала від кашлю, ніяк позитивно на ситуацію не впливали Реклама
У Львові, лікарі знайшли в бронхах пацієнтки зуб після 8 місяців виснажливого та постійного кашлю.
Подробиці повідомив Центр легеневого здоров'я.
Молода жінка звернулася зі скаргами до пульмонолога амбулаторно-поліклінічного відділення. Вона розповіла медикам, що у неї постійний виснажливий кашель спостерігається з липня 2022 року.
Такий стан тривав у неї вісім місяців. Ліки, які вона приймала, ніяк позитивно на ситуацію не вплинули.
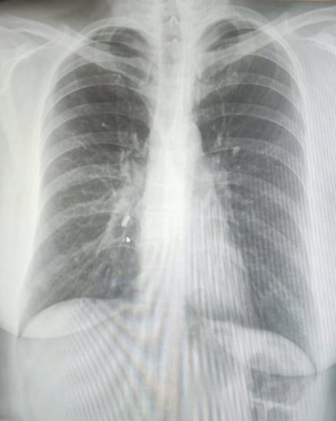
Медики з'ясували, що частина зуба опинилася у легенях під час пологів, які відбувалися шляхом кесаревого розтину. Під час екстреної процедури він відколовся.
За допомогою ендоскопічного кошичка фахівці Центру легеневого здоров'я його видалили, застосувавши місцеву анестезію. Стан жінки значно покращився.




